The Bony Orbit

Written by Oliver Jones

Last updated June 25, 2024
35 Revisions

The bony orbits (or eye sockets) are bilateral and symmetrical cavities in the head. They enclose the eyeball and its associated structures.

In this article, we shall look at the borders, contents and clinical correlations of the bony orbit.


Pro Feature - 3D Model

Borders and Anatomical Relations

The orbit can be thought of as a pyramidal structure, with the apex pointing posteriorly and the base situated anteriorly. The boundaries of the orbit are formed by seven bones.

It is also important to consider the anatomical relations of the orbital cavity – this is clinically relevant in the spread of infection, and in cases of trauma.

The borders and anatomical relations of the bony orbit are as follows:

  • Roof (superior wall) – Formed by the frontal bone and the lesser wing of the sphenoid. The frontal bone separates the orbit from the anterior cranial fossa.
  • Floor (inferior wall) – Formed by the maxilla, palatine and zygomatic bones. The maxilla separates the orbit from the underlying maxillary sinus.
  • Medial wall – Formed by the ethmoid, maxilla, lacrimal and sphenoid bones. The ethmoid bone separates the orbit from the ethmoid sinus.
  • Lateral wall – Formed by the zygomatic bone and greater wing of the sphenoid.
  • Apex – Located at the opening to the optic canal, the optic foramen.
  • Base – Opens out into the face, and is bounded by the eyelids. It is also known as the orbital rim.

Fig 1
The anterior and lateral views of the bony orbit.


Contents

The bony orbit contains the eyeballs and their associated structures:

  • Extra-ocular muscles – These muscles are separate from the eye. They are responsible for the movement of the eyeball and superior eyelid.
  • Eyelids – These cover the orbits anteriorly.
  • Nerves: Several cranial nerves supply the eye and its structures; optic, oculomotor, trochlear, trigeminal and abducens nerves.
  • Blood vessels: The eye receives blood primarily from the ophthalmic artery. Venous drainage is via the superior and inferior ophthalmic veins.

Any space within the orbit that is not occupied is filled with orbital fat. This tissue cushions the eye, and stabilises the extraocular muscles.

Fig 2
Diagram of the arterial supply to the eye.


Pathways into the Orbit

There are three main pathways by which structures can enter and leave the orbit:

  • Optic canal – transmits the optic nerve and ophthalmic artery.
  • Superior orbital fissure – transmits the lacrimal, frontal, trochlear (CN IV), oculomotor (CN III), nasociliary and abducens (CN VI) nerves. It also carries the superior ophthalmic vein.
  • Inferior orbital fissure – transmits the zygomatic branch of the maxillary nerve, the inferior ophthalmic vein, and sympathetic nerves.

There are other minor openings into the orbital cavity. The nasolacrimal canal, which drains tears from the eye to the nasal cavity, is located on the medial wall of the orbit.

Other small openings include the supraorbital foramen and infraorbital canal – they carry small neurovascular structures.

Fig 1.2 - The major openings into the orbit.

Fig 3
The major openings into the orbit.

Clinical Relevance

Fractures of the Bony Orbit

There are two major types of orbital fractures:

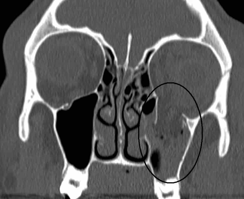
Fig 1.3 - CT scan of a blowout fracture of the eye, through the inferior wall. The contents of the orbit have herniated into the maxillary sinus.

Fig 1.3
CT scan of a blowout fracture of the eye, through the inferior wall. The contents of the orbit have herniated into the maxillary sinus.

  • Orbital rim fracture – This is a fracture of the bones forming the outer rim of the bony orbit. It usually occurs at the sutures joining the three bones of the orbital rim – the maxilla, zygomatic and frontal.
  • ‘Blowout’ fracture – This refers to partial herniation of the orbital contents through one of its walls. This usually occurs via blunt force trauma to the eye. The medial and inferior walls are the weakest, with the contents herniating into the ethmoid and maxillary sinuses respectively.

Any fracture of the orbit will result in intraorbital pressure, raising the pressure in the orbit, causing exophthalmos (protrusion of the eye). There may also be involvement of surrounding structures, – e.g haemorrhage into one of the neighbouring sinuses.

Do you think you’re ready? Take the quiz below

Pro Feature - Quiz
The Bony Orbit

Question 1 of 3

Submitting...
Rate question:
You scored
0%
Skipped: 0/3

1800 More Questions Available

Upgrade to TeachMeAnatomy Pro

Challenge yourself with over 1800 multiple-choice questions to reinforce learning

Learn More