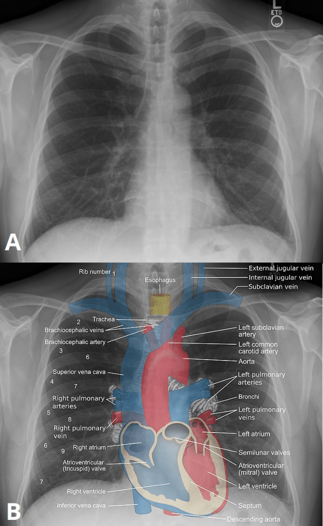
Plain film x-ray is the most common diagnostic radiological modality used in hospitals today. They were first discovered and used for imaging purposes by Wilhelm Röntgen on 8th November 1895, when he took an image of his wife’s hand. In this article, we shall look at the basic science underpinning x-rays, and the principles of their interpretation. Pro Feature - 3D Model You've Discovered a Pro Feature Access our 3D Model Library Explore, cut, dissect, annotate and manipulate our 3D models to visualise anatomy in a dynamic, interactive way. Learn More Basic Principles X-rays are a type of electromagnetic radiation (just like visible light). There are three criteria that must be met to allow electromagnetic radiation to be used for imaging purposes: Ability to create to the electromagnetic radiation at the wavelength required Ability to focus the radiation on a particular area Ability to detect the radiation once it has passed through the patient. The radiation is created when an electric current is generated from a high voltage generator. This causes electrons to “boil-off” from the cathode end of an X-ray tube assembly. These electrons are emitted from a filament on the cathode and rush towards a target material known as the anode. This process is known as thermionic emission. The electrons emitted by the cathode rush towards the anode, which holds a disc made of tungsten. When the electrons collide with the tungsten, several interactions occur at the atomic level. One of these interactions causes electrons to be expelled from the outer orbits of the atoms releasing a X-ray photon. Energy levels of the X-ray photon will vary and can be adjusted when selecting a parameter known as kVP or kilovolts peak. These X-rays then travel through a focusing cup, focusing and accelerating the photons towards the area of the body to be imaged. Traditionally, radiographic film was used known as double emulsion film containing silver nitrate. With technological advancements, many instutions will be using a cassette receptor or if newer technology is available, a digital plate receptor may be used instead. These receptors are placed behind the patient to capture the x-ray photons that are transmitted through the patient and ultimately form the image. <a href="https://pulseradeducation.com"> Pulse Radiology Education</a> Fig 1How an x-ray is generated. Interpreting an X-Ray The interpretation of an x-ray film requires sound anatomical knowledge, and an understanding that different tissue types absorb x-rays to varying degrees: High density tissue (e.g. bone) – absorb x-rays to a greater degree, and appear white on the film. Low density tissue (e.g the lungs) – absorb x-rays to a lesser degree, and appear black on the film. Intermediate density tissue (e.g. muscle and fat) – appears as shades of grey on the x-ray film. It is important to appreciate that x-rays only give a 2D superimposed view of the body part that has been imaged. Therefore, it may be necessary to take multiple views of the same area from different angle (e.g. in cases of suspected fracture), to gain a full understanding of the injury. By Mikael Häggström. Based on source images by ZooFari, Stillwaterising and Gray's Anatomy [CC BY-SA 3.0], via Wikimedia Commons Fig 2Illustration of the mediastinal structures in a normal chest radiograph. Comparison to Other Imaging Techniques The biggest advantage with plain film X-rays is the amount of radiation involved. It offers lower dosage compared to CT, and certain studies are performed relatively quickly (Chest X-rays). They are often used as an initial screening to rule out anything obvious before an advanced modality is used such as CT or MR. However, plain film X-rays procedures are being replaced by CT and MR due to advancements in technology. There are CT scanners available on the market now that offer radiation dosage levels as low as plain film X-rays. Below is a summary table of the common imaging modalities. Depending on the tissue being imaged, the urgency of the investigation and the level of detail required, any of these techniques may be preferred: Factor CT (CT abdo used as example) MRI X-ray (CXR used as example) Ultrasound Duration 3-7 minutes 30-45 min 2-3 min 5-10 minutes Cost Cheaper Expensive Cheap Cheap Dimensions 3 3 2 2 Soft tissue Poor detail Excellent detail Poor detail Poor detail Bone Excellent detail Poor detail Excellent detail Poor detail Radiation 10mSv None 0.15mSv None Do you think you’re ready? Take the quiz below Pro Feature - Quiz Plain Film X-Ray Question 1 of 3 Submitting... Skip Next Rate question: You scored 0% Skipped: 0/3 1800 More Questions Available Upgrade to TeachMeAnatomy Pro Challenge yourself with over 1800 multiple-choice questions to reinforce learning Learn More Rate This Article