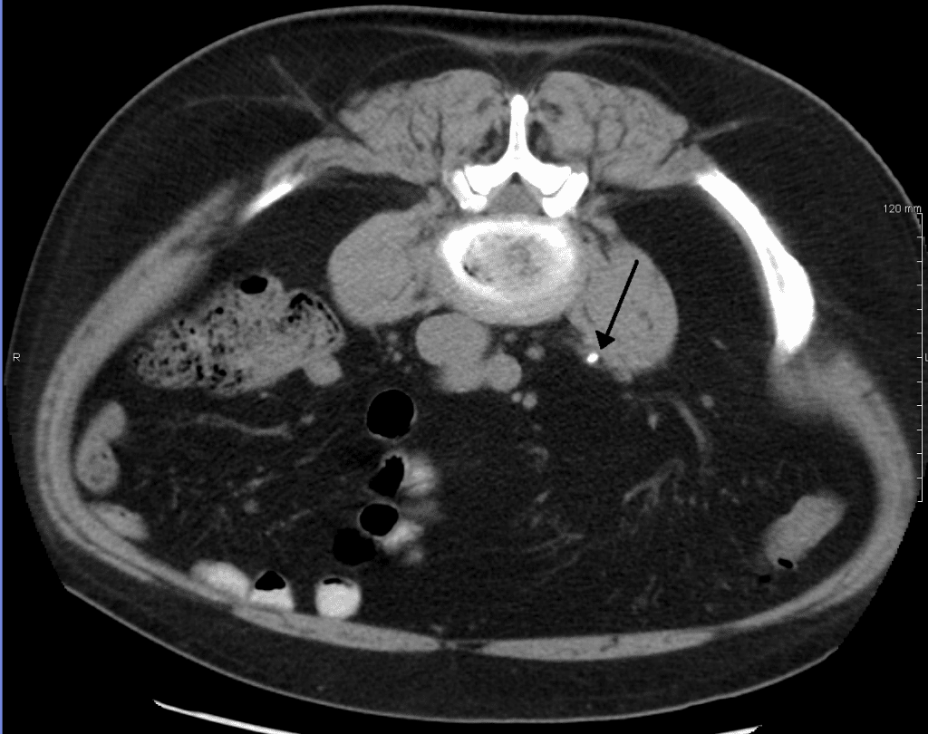
The ureters are two thick tubes which act to transport urine from the kidney to the bladder. They are approximately 25cm long and are situated bilaterally, with each ureter draining one kidney. In this article, we shall look at the anatomy of the ureters – their anatomical course, neurovascular supply and clinical correlations. Pro Feature - 3D Model You've Discovered a Pro Feature Access our 3D Model Library Explore, cut, dissect, annotate and manipulate our 3D models to visualise anatomy in a dynamic, interactive way. Learn More Anatomical Course The ureters arise in the abdomen as a continuation of the renal pelvis, and terminate in the pelvic cavity – where they empty into the bladder. The anatomical course of the ureters can therefore be divided into abdominal and pelvic components. Abdominal Part The ureters arise from the renal pelvis – a funnel like structure located within the hilum of the kidney. The renal pelvis receives urine from the major calyces. The point at which the renal pelvis narrows to form the ureter is known as the ureteropelvic junction. After arising from the ureteropelvic junction, the ureters descend through the abdomen, along the anterior surface of the psoas major. Here, the ureters are a retroperitoneal structure (located behind the peritoneum). At the area of the sacroiliac joints, the ureters cross the pelvic brim, thus entering the pelvic cavity. At this point, they also cross the bifurcation of the common iliac arteries. By TeachMeSeries Ltd (2025) Fig 1The anatomical course of the ureters from the renal pelvis to the bladder. Pelvic Part Once within the pelvic cavity, the ureters travel down the lateral pelvic walls. At the level of the ischial spines, they turn anteromedially, moving in a transverse plane towards the bladder. Upon reaching the bladder wall, the ureters pierce its lateral aspect in an oblique manner. This creates a one way valve, where high intramural pressure collapses the ureters – preventing the back-flow of urine. Clinical Relevance Vascular Relations of the Ureters The anatomical course of the ureters is of surgical importance, as they travel close to other structures in the pelvis. They must be identified during pelvic surgery to ensure that they are not accidentally damaged. Female As they cross the pelvic brim, the ureters are in close proximity to the ovaries. Care must be taken not the damage the ureters during an oophorectomy, especially during the ligation of the ovarian arteries. Approximately 2cm superior to the ischial spine, the ureters run underneath the uterine artery. During a hysterectomy, where the uterus and uterine artery are removed, the ureter is in danger of being accidentally damaged. The relationship between the two can be remembered using the phrase ‘water under the bridge’. By TeachMeSeries Ltd (2025) Fig 2Relationship between the ureter and uterine artery. Male In men, instead of the uterine arteries, the vas deferens cross the ureters anteriorly. Neurovascular Supply The ureter is a structure that has developed via the ureteric bud from the mesonephric duct, and then followed the kidney during its ascend to the final lumbar position in the retroperitoneum. This long, ascending course has enabled the ureter to acquire vessels (arteries, veins and lymph vessels) of different origin during its route. The arterial supply to the ureters can be divided into abdominal and pelvic supply: Abdominal – renal artery, testicular/ovarian artery, and ureteral branches directly from the abdominal aorta Pelvic – superior and inferior vesical arteries. Venous drainage is carried out by vessels that correspond to the aforementioned arteries. Nervous supply to the ureters is delivered via the renal, testicular/ovarian and hypogastric plexuses. Sensory fibres from the ureters enter the spinal cord at T11-L2, with ureteric pain referred to those dermatomal areas. Despoina @ PatrasAnatomy Fig 3The neurovascular and lymphatic supply to the ureters. Clinical Relevance Ureteric Calculus A ureteric calculus (or kidney stone), is the presence of a solid stone in the urinary tract, formed from minerals within the urine. These can obstruct urinary flow, causing renal colic (an acute and severe loin pain) and haematuria (blood in the urine). There are three locations where the ureters are at their narrowest – this is where a stone is more likely to become stuck: Uretopelvic junction Pelvic brim Where the ureter enters the bladder The gold standard investigation for suspected ureteric calculus is CT scan of the kidneys, ureters and bladder (CT-KUB). By James Heilman, MD [CC BY-SA 3.0] Fig 4A ureteric stone on CT KUB Do you think you’re ready? Take the quiz below Pro Feature - Quiz The Ureters Question 1 of 2 Submitting... Skip Next Rate question: You scored 0% Skipped: 0/2 1800 More Questions Available Upgrade to TeachMeAnatomy Pro Challenge yourself with over 1800 multiple-choice questions to reinforce learning Learn More Rate This Article