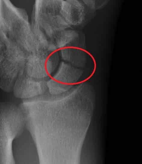
The wrist joint (also known as the radiocarpal joint) is an articulation between the radius and the carpal bones of the hand. It is condyloid-type synovial joint which marks the area of transition between the forearm and the hand. In this article, we shall look at the anatomy of the wrist joint – its structure, neurovasculature and clinical correlations. Pro Feature - 3D Model You've Discovered a Pro Feature Access our 3D Model Library Explore, cut, dissect, annotate and manipulate our 3D models to visualise anatomy in a dynamic, interactive way. Learn More Anatomical Structure Articulating Surfaces The wrist joint is formed by an articulation between: Distal end of the radius and the articular disk. Proximal row of the carpal bones (except the pisiform). Together, the carpal bones form a convex surface, which fits into the concave shape of the radius and articular disk. The ulna is prevented from articulating with the carpal bones by the presence of a fibrocartilaginous ligament, the articular disk. Instead, the ulna articulates with the radius just proximal to the wrist – at the distal radioulnar joint. By TeachMeSeries Ltd (2025) Fig 1Articular surfaces of the wrist joint. Joint Capsule The joint capsule of the wrist joint attaches to the radius, ulna and the proximal row of the carpal bones. It is lined internally by a synovial membrane, which produces synovial fluid to reduce friction between the articulating structures. Ligaments There are four main ligaments located at the wrist joint: Palmar radiocarpal – located on the palmar (anterior) side of the joint. It passes from the radius to both rows of carpal bones. Its function, apart from increasing stability, is to ensure that the hand follows the forearm during supination. Dorsal radiocarpal – Found on the dorsum (posterior) side of the hand. It passes from the radius to both rows of carpal bones. It contributes to the stability of the wrist, but also ensures that the hand follows the forearm during pronation. Ulnar collateral – Runs from the ulnar styloid process to the triquetrum and pisiform. It acts to prevent excessive radial (lateral) deviation of the hand. Radial collateral – Runs from the radial styloid process to the scaphoid and trapezium. It acts to prevent excessive ulnar (medial) deviation of the hand. By TeachMeSeries Ltd (2025) Fig 2Palmar view of the ligaments of the wrist joint. Movements The wrist is an ellipsoidal (condyloid) type synovial joint, allowing for movement along two axes. This means that flexion, extension, adduction and abduction can all occur at the wrist joint. All the movements of the wrist are performed by the muscles of the forearm. Flexion – Produced mainly by the flexor carpi ulnaris, flexor carpi radialis, with assistance from the flexor digitorum superficialis. Extension – Produced mainly by the extensor carpi radialis longus and brevis, and extensor carpi ulnaris, with assistance from the extensor digitorum. Adduction – Produced by the extensor carpi ulnaris and flexor carpi ulnaris Abduction – Produced by the abductor pollicis longus, flexor carpi radialis, extensor carpi radialis longus and brevis. Mobility and Stability The wrist joint is a highly mobile joint to allow the hand to move in several directions. Because of this, the wrist joint is prone to injury. The wrist joint does maintain some stability due to intrinsic and extrinsic ligaments. Intrinsic carpal ligaments, the tiny ligaments between the carpal bones, are short ligaments that provide stability but are easily damaged with excessive force or twisting due to their small size. The extrinsic ligaments, which include the palmar/dorsal radiocarpal ligaments and the radial and ulnar collateral ligaments are stronger and stabilise from the radius and ulna to the carpal bones of the wrist. They are discussed above in further detail. Blood Supply The wrist joint receives blood from branches of the dorsal and palmar carpal arches, which are derived from the ulnar and radial arteries (for more information, see Blood Supply to the Upper Limb) Innervation Innervation to the wrist is delivered by branches of three nerves: Median nerve – Anterior interosseous branch. Radial nerve – Posterior interosseous branch. Ulnar nerve – deep and dorsal branches. Clinical Relevance Injuries to the Wrist Joint Scaphoid Fracture The scaphoid bone of the hand is the most commonly fractured carpal bone – typically by falling on an oustretched hand (FOOSH). In a fracture of the scaphoid, the characteristic clinical feature is pain and tenderness in the anatomical snuffbox. The scaphoid is at particular risk of avascular necrosis after fracture because of its so-called ‘retrograde blood supply’ which enters at its distal end. This means that a fracture to the middle (or ‘waist’) of the scaphoid may interrupt the blood supply to the proximal part of the scaphoid bone rendering it avascular. Patients with a missed scaphoid fracture are likely to develop osteoarthritis of the wrist in later life. By Gilo1969 (Own work) [CC-BY-SA-3.0], via Wikimedia Commons Fig 3Radiograph of a scaphoid fracture. Adapted from work by Iiibalesiii [CC BY-SA 4.0] Fig 4The blood supply to the scaphoid bone runs from distal to proximal. Anterior Dislocation of the Lunate This can occur by falling on a dorsiflexed wrist. The lunate is forced anteriorly, and compresses the carpal tunnel, causing the symptoms of carpal tunnel syndrome. This manifests clinically as paraesthesia in the sensory distribution of the median nerve and weakness of thenar muscles. The lunate can also undergo avascular necrosis, so immediate clinical attention to the fracture is needed. Colles’ Fracture The Colles’ fracture is the most common fracture involving the wrist, caused by falling onto an outstretched hand. The radius fractures, with the distal fragment being displaced posteriorly. The ulnar styloid process can also be damaged, and is avulsed in the majority of cases. This clinical condition produces what is known as the ‘dinner fork deformity’. Do you think you’re ready? Take the quiz below Pro Feature - Quiz The Wrist Joint Question 1 of 3 Submitting... Skip Next Rate question: You scored 0% Skipped: 0/3 1800 More Questions Available Upgrade to TeachMeAnatomy Pro Challenge yourself with over 1800 multiple-choice questions to reinforce learning Learn More Rate This Article