The Meninges

Written by Oliver Jones

Last updated June 8, 2025
34 Revisions

The meninges are the protective membranous coverings that surround the brain and spinal cord. They consist of three distinct layers: the dura mater, arachnoid mater, and pia mater.

These layers serve two key functions:

  • Provide a supportive framework for the cerebral vasculature.
  • Work alongside cerebrospinal fluid (CSF) to cushion the central nervous system (CNS) and prevent mechanical injury.

In this article, we will review the anatomy of the three meningeal layers and their clinical relevance.

Fig 1.0 - Overview of the meninges, and their relationship to the skull and brain.

Fig 1
Overview of the meninges, and their relationship to the skull and brain.


Pro Feature - 3D Model

Dura Mater

The dura mater is the outermost layer of the meninges and is located directly underneath the bones of the skull and vertebral column. It is thick, tough, and inextensible.

The dura mater consists of two layered sheets of connective tissue:

  • Periosteal layer – lines the inner surface of the bones of the cranium.
  • Meningeal layer – located deep to the periosteal layer. It is continuous with the dura mater of the spinal cord.

The dural venous sinuses are located between the two layers of dura mater. They are responsible for the venous drainage of the cranium and empty into the internal jugular veins.

The dura mater receives its own vascular supply – primarily from the middle meningeal artery and vein. It is innervated by the trigeminal nerve (V1, V2 and V3).

Dural Reflections

The meningeal layer of dura mater folds inwards upon itself to form four dural reflections.

These reflections project into the cranial cavity, dividing it into several compartments – each of which houses a subdivision of the brain.

The four dural reflections are:

  • Falx cerebri – projects downwards to separate the right and left cerebral hemispheres.
  • Tentorium cerebelli – separates the occipital lobes from the cerebellum. It contains a space anteromedially for passage of the midbrain – the tentorial notch.
  • Falx cerebelli – separates the right and left cerebellar hemispheres.
  • Diaphragma sellae – covers the hypophysial fossa of the sphenoid bone. It contains a small opening for passage of the stalk of the pituitary gland.
Clinical Relevance

Extradural and Subdural Haematomas

A haematoma is a collection of blood. As the cranial cavity is effectively a closed box, a haematoma can cause a rapid increase in intra-cranial pressure. Death will result if untreated.

There are two types of haematomas involving the dura mater:

  • Extradural – arterial blood collects between the skull and periosteal layer of the dura. The causative vessel is usually the middle meningeal artery, tearing as a consequence of brain trauma.
  • Subdural – venous blood collects between the dura and the arachnoid mater. It results from damage to cerebral veins as they empty into the dural venous sinuses.
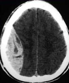
Fig 1.1 - CT scan of a massive extradural haematoma

Fig 2
CT scan of a massive extradural haematoma

Arachnoid Mater

The arachnoid mater is the middle layer of the meninges, lying directly underneath the dura mater. It consists of layers of connective tissue, is avascular, and does not receive any innervation.

Underneath the arachnoid is a space known as the sub-arachnoid space. It contains cerebrospinal fluid, which acts to cushion the brain. Small projections of arachnoid mater into the dura (known as arachnoid granulationsallow CSF to re-enter the circulation via the dural venous sinuses.

Fig 1.3 - Coronal section of the skull, meninges and cerebrum. An arachnoid granulation is visible in the center.

Fig 3
Coronal section of the skull, meninges and cerebrum. An arachnoid granulation is visible in the centre.


Pia Mater

The pia mater is located underneath the sub-arachnoid space. It is very thin, and tightly adhered to the surface of the brain and spinal cord. It is the only covering to follow the contours of the brain (the gyri and fissures).

Like the dura mater, it is highly vascularised, with blood vessels perforating through the membrane to supply the underlying neural tissue.

Clinical Relevance

Meningitis

Meningitis refers to inflammation of the meninges. It is usually caused by pathogens, but can be drug induced.

Bacteria are the most common infective cause. The most common organisms are Neisseria meningitidis and Streptococcus pneumoniae. 

The immune response to the infection causes cerebral oedema, consequently raising intra-cranial pressure. This has two main effects:

  • Part of the brain can be forced out of the cranial cavity – this is known as cranial herniation.
  • In combination with systemic hypotension, raised intracranial pressure reduces cerebral perfusion.

Both complications can rapidly result in death.

Do you think you’re ready? Take the quiz below

Pro Feature - Quiz
The Meninges

Question 1 of 3

Submitting...
Rate question:
You scored
0%
Skipped: 0/3

1800 More Questions Available

Upgrade to TeachMeAnatomy Pro

Challenge yourself with over 1800 multiple-choice questions to reinforce learning

Learn More