The Pericardium

Written by Matt Quinn

Last updated April 27, 2025
45 Revisions

If the heart is the fun, interesting inside bit of an orange, the pericardium could be compared to the peel around it. Like peel, it can seem vaguely unexciting – that is until you learn some of its very important (appeeling. ahem.) physiological functions 1.

In scientific terms, the pericardium is a fibro-serous, fluid-filled sack that surrounds the muscular body of the heart and the roots of the great vessels (the aorta, pulmonary artery, pulmonary veins, and the superior and inferior vena cavae).

This article will give an outline of the functions, structure, innervation, and clinical significance of the pericardium.


Pro Feature - 3D Model

Anatomical Structure

The pericardium is made up of two main layers: a tough external layer known as the fibrous pericardium, and a thin, internal layer known as the serous pericardium (to overextend the orange metaphor, the outer peel could be thought of as the fibrous layer, with the inner white stuff being the serous layer).

Fibrous Pericardium

Continuous with the central tendon of the diaphragm, the fibrous pericardium is made of tough connective tissue and is relatively non-distensible. Its rigid structure prevents rapid overfilling of the heart, but can contribute to serious clinical consequences (see cardiac tamponade).

Serous Pericardium

Enclosed within the fibrous pericardium, the serous pericardium is itself divided into two layers: the outer parietal layer that lines the internal surface of the fibrous pericardium and the internal visceral layer that forms the outer layer of the heart (also known as the epicardium). Each layer is made up of a single sheet of epithelial cells, known as mesothelium.

Found between the outer and inner serous layers is the pericardial cavity, which contains a small amount of lubricating serous fluid. The serous fluid serves to minimise the friction generated by the heart as it contracts.

Fig 1
The layers of the heart wall.

The order of these layers can be remembered using the acronym Fart Police Smell Villains:

  • F – Fibrous layer of the pericardium
  • P – Parietal layer of the serous pericardium
  • S – Serous fluid
  • V – Visceral layer of the serous pericardium

Functions

The pericardium has many physiological roles, the most important of which are detailed below:

  • Fixes the heart in the mediastinum and limits its motion. Fixation of the heart is possible because the pericardium is attached to the diaphragm, the sternum, and the tunica adventitia (outer layer) of the great vessels
  • Prevents overfilling of the heart. The relatively inextensible fibrous layer of the pericardium prevents the heart from increasing in size too rapidly, thus placing a physical limit on the potential size of the organ
  • Lubrication. A thin film of fluid between the two layers of the serous pericardium reduces the friction generated by the heart as it moves within the thoracic cavity
  • Protection from infection. The fibrous pericardium serves as a physical barrier between the muscular body of the heart and adjacent organs prone to infection, such as the lungs.
Fig 1.4 - Anterior view of the pericardium. Note the attachments to the diaphragm, and the roots of the great vessels.

Fig 2
Anterior view of the pericardium. Note the attachments to the diaphragm, and the roots of the great vessels.

Clinical Relevance

Transverse Pericardial Sinus

The transverse pericardial sinus is a short passage within the pericardial cavity, formed during the folding of the heart tube in embryological development.

It is located:

  • Posterior to the ascending aorta and pulmonary trunk.
  • Anterior to the superior vena cava.

In this position, the transverse pericardial sinus separates the arterial outflow of the heart (aorta, pulmonary trunk) from its venous inflow (superior vena cava, pulmonary veins).

This sinus is clinically important during coronary artery bypass grafting (CABG), where it allows surgeons to pass a clamp or ligature around the ascending aorta and pulmonary trunk.

Fig 1.2 - The Transverse pericardial sinus, separating the major arteries and veins. Also note the close relationship of the fibrous pericardium and the diaphragm

Fig 3
The Transverse pericardial sinus, separating the major arteries and veins. Also note the close relationship of the fibrous pericardium and the diaphragm

Innervation

The pericardium receives somatic sensory innervation from the phrenic nerves (C3–C5), which also provide motor and sensory innervation to the diaphragm.

Due to their cervical origin, pericardial irritation (e.g. pericarditis) can result in referred shoulder pain.

Clinical Relevance

Cardiac Tamponade

The relatively inextensible fibrous pericardium can cause problems when there is an accumulation of fluid, known as pericardial effusion, within the pericardial cavity.

The rigid pericardium cannot expand, and thus the heart is subject to the resulting increased pressure. The chambers can become compressed, thus compromising cardiac output.

Pericarditis

Pericarditis, or inflammation of the pericardium, has myriad causes, including bacterial infection and myocardial infarction. The main symptom is chest pain, and the condition can cause acute cardiac tamponade due to an accumulation of fluid in the pericardial cavity.

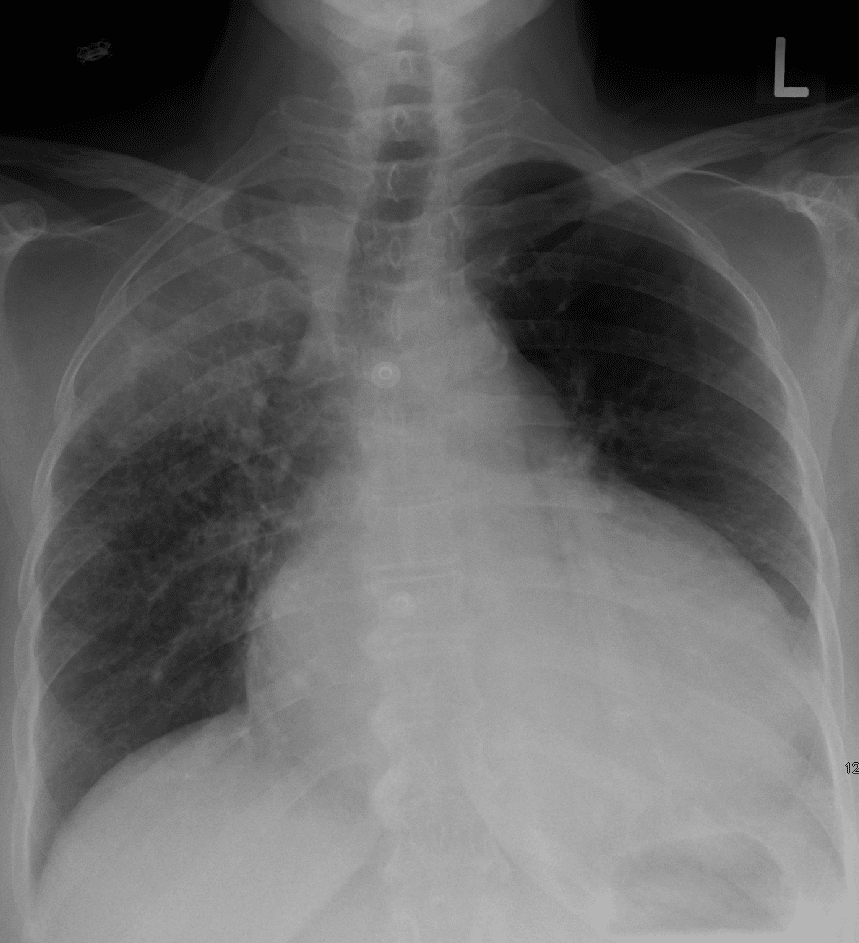
Fig 4
Radiographic appearance of pericardial effusion (note the enlarged heart shape).

1  The exciting functions of orange peel are documented at length in academic literature – for instance, did you know that the juice from orange peel is highly flammable?